
Sou filho de imigrantes coreanos que buscaram no Brasil um lugar para recomeçar a vida no pós guerra na década de 60.
Formado em medicina pela Faculdade de Ciências Médicas da Santa Casa de São Paulo.
Residência médica em Ortopedia e Traumatologia pela Faculdade de Ciências Médicas da Santa Casa de São Paulo.
Residência médica em Cirurgia da Mão e Microcirurgia pela Faculdade de Ciências Médicas do ABC.
Oficial médico (1T) na Marinha do Brasil.
Membro do corpo clínico do Hospital Israelita Albert Einstein.
Retaguarda de Cirurgia da Mão no Hospital São Luiz Osasco e São Luiz Alphaville.


Nesta página abordaremos diversos temas dentro da Ortopedia Geral e Cirurgia da Mão a fim de esclarecer e orientar pacientes com dúvidas sobre suas afecções.
As fraturas dos membros superiores são as mais frequentes do corpo humano. Na mão as fraturas das falanges são as mais comuns devido a exposição dessas estruturas nas atividades do dia a dia (trabalho manual, esportes, esforços diários, etc).
Com formação em Ortopedia e Traumatologia e Cirurgia da Mão, possuo experiência e habilitação para o tratamento de fraturas, principalmente as que acometem punho e mão.
Fraturas comumente tratadas pelo cirurgião da mão:



Doenças dos nervos periféricos podem ter repercussões graves e podem ter indicação cirúrgica para seu tratamento definitivo. É nesse momento que o Cirurgião da Mão frequentemente intervém.
Entre as doenças de nervos periféricos tratadas pelo cirurgião da mão encontram-se:

O advento de rotinas de trabalho e atividades diárias com repetição de movimento tem resultado no aumento de lesões acometendo os tendões das mãos e membros superiores. É comum conhecermos pessoas que queixam-se de dores nas mãos durante uso de teclados ou celulares. Outros sintomas frequentemente observados são travamento dos dedos ou sensação de choque ao executar o movimento do membro. Essas queixas podem estar relacionadas a problemas nos tendões dos punhos ou mão.
Entre as doenças que acometem os tendões, comumente encontramos:
O Dedo em Gatilho é uma causa comum de travamento dos dedos.
A doença Trauma é uma das mais prevalente na Ortopedia. Fraturas, lesões de nervos, lesões de tendões estão entre as mais comuns.
O tratamento das fraturas não necessariamente envolvem cirurgia. Para algumas fraturas que apresentam-se estáveis pode-se optar pelo tratamento conservador, por meio do uso de órteses ou imobilização gessada tradicional.
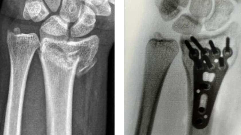
No caso de fraturas instáveis, ou com alta probabilidade de instabilidade, deve-se optar pelo tratamento cirúrgico, a fim de aumentar as chance de consolidação do osso em uma posição mais próxima do ideal possível. Para esse fim, utiliza-se materiais de síntese, as famosas placas e parafusos.

Exemplo de fratura da extremidade distal do rádio tratado com placa e parafusos
As lesões traumáticas de tendões costumam ocorrer em acidentes que envolvam cortes, podem também ocorrer em traumas fechados. Um sinais típico de lesão do tendão é a perda do movimento respectivo ao qual o tendão responsável. As lesões de tendão, quando acometem mais de 50% de sua espessura, tem indicação cirúrgica e devem ser realizadas com brevidade.
Os ligamentos são os estabilizadores das articulações. É comum a confusão dessas estruturas com os tendões, que podem também auxiliar na estabilização porém tem papel principal na realização do movimento. Outra diferença importante é que, de maneira geral, ligamentos originam-se em osso e inserem-se em osso, diferentemente dos tendões (músculo-osso).
Lesões parciais de ligamentos podem sem tratadas conservadoramente, ou seja, sem cirurgia, com uso de imobilização. No entanto, assim com ossos, lesões ligamentares que causem instabilidade tem, geralmente, indicação cirúrgica, a fim de restaurar-se a função adequada da articulação. Um exemplo clássico de lesão ligamentar da mão com indicação cirúrgica absoluta é a Lesão de Stenner (vídeo abaixo).
Observe a instabilidade de articulação metacarpofalangeana do polegar.
As Neuropatias Periféricas são costumariamente tratadas pelo Especialista em Cirurgia da Mão. Sintomas típicos da Neuropatia Periférica são formigamento, dormência e/ou perda de força no membro. A Síndrome do Túnel do Carpo é um clássico exemplo.
Essa doença muito comum tem indicação de tratamento cirúrgico em duas situações típicas:
O tratamento cirúrgico da Síndrome do Túnel do Carpo pode ser realizado por via tradicional (aberta), ou via endoscópica (exemplo abaixo).

Tratamento endoscópico da Síndrome do Túnel do Carpo permite um pós operatório menos doloroso com uma via de acesso pequena.
A Artroscopia de Punho é uma nova forma de tratamento de doenças que acometem essa articulação tão delicada e importante. O advento da tecnologia nos últimos anos permitiu a abordagem cirúrgica das articulações de maneira muito menos invasiva e agressiva do que previamente. As artroscopias mais conhecidas hoje são as das grandes articulações do ombro e joelho, porém com o desenvolvimento de aparelhos mais compactos, hoje a artroscopia do punho permite o tratamento da articulação com mínima morbidade. As lesões mais comumente tratadas pela técnica artroscópica no punho são:


Av. Angélica, 916 – conj 608 – Santa Cecilia, São Paulo – SP, 01228-000
Alameda Grajaú, 98 – 18º Andar – Alphaville Industrial, Barueri – SP, 06454-050
(11) 99293-5017